logo-mini
NOVIDADES
  Category Archives for Novidades
138a5757-jpg

Lentes de Contato Dental: O que são? O que podemos corrigir com elas?

As facetas em porcelana ultrafina, conhecidas como lente de contato dentais, são o grande sucesso que veio para mudar a vida e melhorar a autoestima de muita gente que quer ter um sorriso mais bonito e uniforme. Essas facetas são projetadas para cobrir a superfície frontal dos dentes para melhorar sua aparência. As lentes de […]

Leia Mais
retracao-gengival

Retração e sensibilidade: dicas ajudam a evitar os problemas

Beber algo quente dói, tomar sorvete nem pensar e até alimentos mais ácidos não são tolerados por pessoas com dentes sensíveis. Segundo um estudo desenvolvido na Universidade de Washington, nos Estados Unidos, o problema atinge uma em cada oito pessoas. Na maioria das vezes, ocorre desgaste do esmalte do dente. Dessa forma, prolongamentos nervosos ficam […]

Leia Mais
AUto-exame-cânccer-bucal-700x445

18 Curiosidades que você precisa saber sobre o Câncer de Boca.

            AUTO EXAME DA CAVIDADE ORAL. 1. Descoberto em 70% dos casos em fase avançada no Brasil. 2. Sequelas afetam a fala, mastigação, deglutição e a estética. 3. Consultas regulares ao cirurgião-dentista podem resultar em descoberta de tumor em fase inicial e maior taxa de sucesso no tratamento. 4. Globalmente, […]

Leia Mais
Diferença entre auto ligado metalico e estetico

Conheça os aparelhos autoligados!

Os aparelhos autoligados prometem animar quem precisa corrigir as más oclusões – os famosos problemas de mordida. O tratamento permite que os pacientes percebam resultados já nos primeiros meses. O aparelho ortodôntico autoligado é composto por braquetes que não precisam de ligaduras elásticas, as famosas borrachinhas, para manter o fio, ou arco ortodôntico, preso ao […]

Leia Mais
clinipam-plano-de-saude-bulimia-300x280

O Dentista pode ser o primeiro profissional de saúde a suspeitar que o paciente seja bulímico.

O que é Bulimia? Bulimia é um distúrbio alimentar, no qual uma pessoa oscila entre episódios recorrentes e incontroláveis de grandes quantidades de alimentos, geralmente com alto teor calórico, na maior parte das vezes, às escondidas. Depois, tomadas por sentimentos de remorso ou culpa. Recorrem às reações inadequadas para evitar o ganho de peso, tais […]

Leia Mais
IMG_0078-0.jpg

A JKL Odontologia apoia essa causa!!

  

Leia Mais
curaprox 3

Sangramento na gengiva é um sinal de perigo.

Gengivas saudáveis não sangram, mesmo quando você está comendo uma maçã, escovando os dentes ou enquanto o dentista trabalha em sua boca. Às vezes, aparecem sinais de sangue ao morder uma maçã. Ou ainda há sangramento depois de escovar os dentes. Não importa como você percebe o sangramento nas gengivas: é um sinal de alerta […]

Leia Mais
5-esportes

5 Esportes em que você deve usar um protetor bucal.

Todos nós sabemos a importância de um sorriso bonito em nossa vida pessoal e até na profissional. Considerado por muitos como um cartão de visitas, ter dentes brancos e alinhados é algo que todos desejam e muitos gastam milhares de reais com isso. Mas algo muito corriqueiro e agradável pode colocar em risco nossa dentição: […]

Leia Mais

Erosão dentária: como pode afetar seus dentes?

  Você é o que você come. A ingestão de comida e bebida certa, assim como a forma de comer ou beber, são importantes para sua saúde e de seus dentes. O consumo de alimentos demasiadamente ácidos pode levar ao desgaste do esmalte (a camada que recobre externamente os dentes) e expor a dentina, que […]

Leia Mais
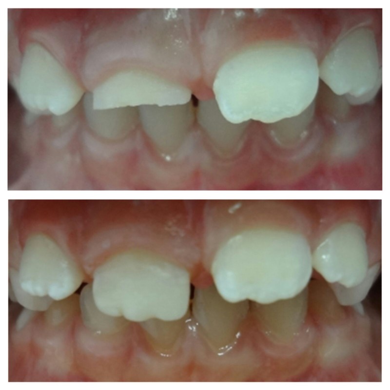
IMG_0225

Seu filho caiu e quebrou o dente, e agora?

Os traumas dentais infantis são muito comuns na primeira infância. É nessa fase que a criança está aprendendo a andar e está cheia de curiosidade para explorar novos mundos e ambientes. Mas também é nessa fase que sua inquietação e falta de coordenação motora está em alta o que pode acabar na fratura de um […]

Leia Mais